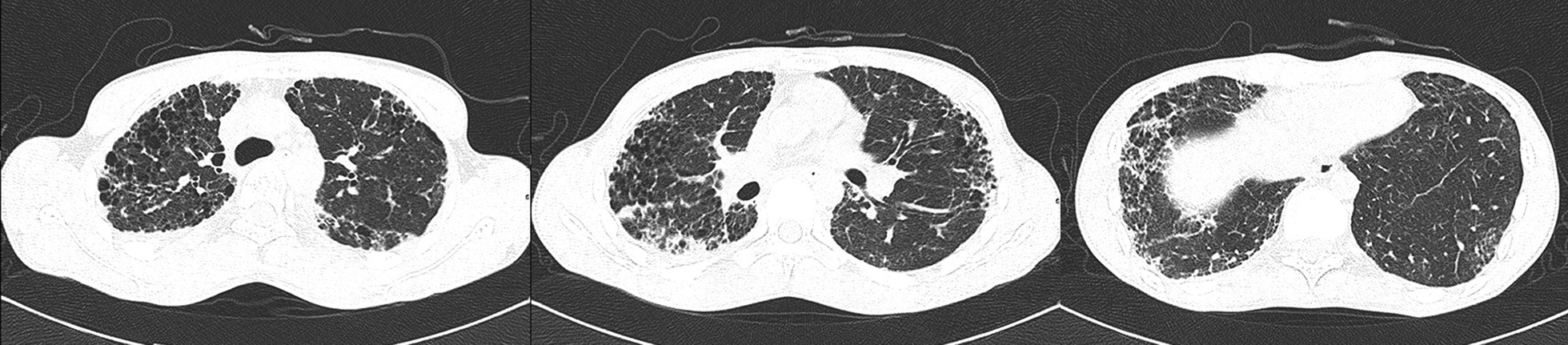
Fig. 2

High resolution computed tomography manifestation of the patient. Chest high resolution computed tomography scan showed mid- and upper-zone predominant bilateral peripheral reticulolinear shadows, interlobular septal thickening with associated traction bronchiectasis and honeycombing, compatible with pulmonary fibrosis